【歯の被せ物・詰め物】補綴物の自費治療とは?保険との違いとメリットを解説
虫歯や歯の欠けなどで「被せ物」や「詰め物」が必要になったとき、治療には保険診療と自費診療(自由診療)の2つの選択肢があります。
特に「見た目をきれいにしたい」「長持ちする治療をしたい」という方には、自費の補綴治療が注目されています。
この記事では、歯科で行う補綴物の自費治療について、素材の種類や特徴、保険との違いをわかりやすく解説します。
1. 補綴治療とは?歯の機能と見た目を回復する治療
「補綴(ほてつ)」とは、失った歯や歯の一部を人工物で補う治療のことです。
被せ物(クラウン)・詰め物(インレー)・ブリッジ・入れ歯・インプラントなどがこれに含まれます。
目的は、咬む力の回復と見た目の改善。
適切な補綴物を選ぶことで、咬み合わせが安定し、再治療のリスクを減らすことにもつながります。
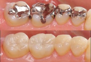
2. 保険診療と自費診療の違い
保険診療では、使用できる素材や方法が国によって定められています。
そのため、最低限の機能回復はできますが、見た目の美しさや耐久性には限界があります。
一方、自費治療では自由に素材を選べるため、
自然な色と透明感
長期間変色しにくい耐久性
金属アレルギーの心配が少ない素材
など、より質の高い仕上がりを追求できます。
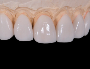
3. 自費補綴物の主な種類と特徴
セラミッククラウン
金属を使わない「オールセラミック」は、透明感のある自然な歯の色を再現でき、前歯の治療に特に人気です。
変色しにくく、金属アレルギーの心配もありません。
ジルコニアクラウン
非常に硬く、割れにくい素材です。
「人工ダイヤモンド」と呼ばれるほどの強度を持ち、奥歯のように咬む力が強い部分にも適しています。
見た目も白く、近年はセラミックを表面に焼き付けることで強度と美しさを両立できます。
e‐max(イーマックス)
ガラス系セラミックの一種で、自然なツヤと発色が特徴です。
前歯〜小臼歯に向いており、強度と審美性のバランスが良い素材です
メタルボンドクラウン
内側に金属、外側にセラミックを焼き付けた補綴物です。
丈夫で見た目も自然ですが、歯ぐきの変色が起こる場合があります。
強度を重視したい方におすすめです。
ゴールドクラウン
適度な柔らかさで咬み合わせにやさしく、歯との適合が非常に良い素材です。
二次虫歯になりにくく、長持ちする点が魅力です。
4. 自費補綴のメリット
見た目が自然で美しい
天然歯に近い色や透明感を再現でき、笑ったときにも違和感がありません。
耐久性が高く、長持ちする
変色や摩耗が少なく、長期間安定して使用できます。
金属アレルギーのリスクが少ない
メタルフリー素材を選べば、体にやさしい治療が可能です。
精密な咬み合わせを再現できる
歯科技工士が細部までこだわり、フィット感が高く快適です。
5. 自費治療のデメリットと注意点
自費治療のデメリットは費用の高さです。
しかし、長期的に見れば再治療が少なく、トータルコストを抑えられる場合もあります。
また、素材によっては製作期間がやや長くなることがあります。
6. 自分に合った補綴物を選ぶために
「見た目を重視したい」「噛みやすさを優先したい」「金属アレルギーが心配」など、希望や体質によって最適な補綴物は異なります。
歯科医師と相談しながら、ライフスタイルに合った素材選びを行うことが大切です。
まとめ|自費補綴で“見た目”と“機能”の両立を
補綴物の自費治療は、保険治療に比べて費用はかかりますが、「自然な見た目」「長持ちする快適さ」「体へのやさしさ」など、得られるメリットは大きいです。
一人ひとりの希望やお口の状態に合わせたご提案が可能ですので、ご気軽にご相談ください。
もりやまファミリー歯科:https://moriyamafamily-dental.com/
〒463-0057 愛知県名古屋市守山区中新2-6
電話:052-778-8148
電車でお越しの方:
瓢箪山駅 または 小幡駅 徒歩9分

