治療したはずなのに、また虫歯!?
知っておきたい二次カリエスの原因と予防法
一度治療した歯なのに、また虫歯になってしまった…。そんな経験はありませんか?
それは「二次カリエス(2次カリエス)」と呼ばれる、治療後の虫歯かもしれません。
今回は、二次カリエスの原因や特徴、そして予防のポイントについて詳しく解説します。
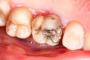
二次カリエスとは?
「二次カリエス」とは、過去に治療を受けた歯の詰め物(レジン)や被せ物(クラウン、インレー)の すき間から新たに虫歯ができることをいいます。
なぜ起こるの?
修復物と歯の間にすき間や段差ができると、そこに細菌が入り込みやすくなります。
磨き残しがあると、歯垢(プラーク)がたまり、再び虫歯菌が活発になります。
詰め物の経年劣化や、咬み合わせの変化も影響します。
治療した歯は虫歯になりやすい?
実は、治療済みの歯ほど虫歯リスクが高いといわれています。
理由
神経を取った歯は、痛みを感じにくいため進行に気づきにくい
一度削った歯は構造が弱くなる
詰め物の接着部分は、細菌の侵入口になりやすい
そのため、詰めたからといって安心せず、定期的なチェックが重要なのです。
二次カリエスの見つけ方
二次カリエスは見た目ではわかりにくいことも多く、自覚症状がないまま進行することがあります。
よくあるサイン
詰め物の周囲が黒ずんでいる
詰め物が浮いている、グラグラする
歯がしみる、噛んだときに違和感がある
定期検診でレントゲンに影が映る
症状がなくても、定期的なレントゲン検査やプロのチェックで早期発見できます。
二次カリエスの治療法
虫歯の範囲や進行度に応じて、以下の治療法が行われます。
詰め直し(レジンやインレーの再装着)
クラウンの再製作
神経の再治療(根管治療)
抜歯(進行が深刻な場合)
※繰り返すと歯の寿命が縮まるため、早期発見・早期治療がカギです。
二次カリエスを防ぐには?
1. 正しいセルフケア
丁寧なブラッシング(特に詰め物の境目)
フロスや歯間ブラシで歯と歯の間も清掃
フッ素入り歯磨き粉を使用して再石灰化を促す
2. 定期検診とメンテナンス
3〜6ヶ月ごとの歯科検診で状態をチェック
レントゲンで見えない虫歯の早期発見
プロによるクリーニング(PMTC)
3. 劣化した修復物の見直し
古くなった詰め物・被せ物は定期的に交換の検討を
精度の高い素材
(例:セラミックやジルコニア)にすることで、隙間ができにくく虫歯リスクが軽減されます。
素材によるリスクの違いは?
詰め物・被せ物の材質や精度によって、二次カリエスのリスクは異なります。
|
材質 |
特徴 |
二次カリエスリスク |
|
レジン(プラスチック) |
安価で保険適用だが、すり減りや変色が早い |
やや高い |
|
金属(FMCなど) |
丈夫で長持ちするが見た目に難 |
中程度 |
|
セラミック / ジルコニア |
精度が高く隙間ができにくい。見た目も自然 |
低い |
まとめ:再発を防ぐのが、最良の治療
治療した歯を守るには、「二次カリエスにしないこと」が最も大切です。
そのためにできることは、
日々のセルフケアの見直し
かかりつけ歯科での定期チェック
治療後も油断せず、丁寧に使う意識
気になる症状がある方は、早めの受診をおすすめします。
もりやまファミリー歯科:https://moriyamafamily-dental.com/
〒463-0057 愛知県名古屋市守山区中新2-6
電話:052-778-8148
電車でお越しの方:
瓢箪山駅 または 小幡駅 徒歩9分

